Eden Carlson Drowning and Recovery

Eden Carlson was two years old when she suffered a near fatal drowning accident. Doctors gave Eden more than 100 minutes of CPR and 17 shots of epinephrine before she regained a spontaneous heartbeat. An MRI taken after the accident showed that Eden had sustained a global anoxic brain injury. She could not speak, walk, […]
The Physiological Benefits of HBOT have been shown to help:

The Physiological Benefits of HBOT have been shown to help: Improve Energy Levels and Tissue Function SUPPORTING STUDIES Oxygen-induce mitochondrial biogenesis <view study> Hyperbaric oxygen significantly increases ATP & energy production in muscle tissue <view study> HBOT helps improve energy levels (ATP) and cognitive recover following brain injury <view study> Hyperbaric oxygen helps with chronic fatigue sufferers <view study> Regenerate Tissue SUPPORTING STUDIES800% Increase in stem cell mobilization […]
Hyperbaric Oxygen Therapy is Helpful for Neurological Disorders

Neurological disorders, ranging from mild traumatic brain injuries (mTBI) and post-traumatic stress (PTSD) to Alzheimer’s disease and Parkinson’s disease, have long posed significant challenges for patients and healthcare professionals alike. In the search for effective treatments, hyperbaric oxygen therapy (HBOT) has emerged as a beacon of hope. Research suggests that HBOT may serve as a […]
The Synergy of Neurofeedback and Hyperbaric Oxygen Therapy

HBOT works in great synergy with Neurofeedback for brain injuries, addhd, tbi, alzheimers and stroke.
Traumatic Brain Injury and Hyperbaric Oxygen Treatment

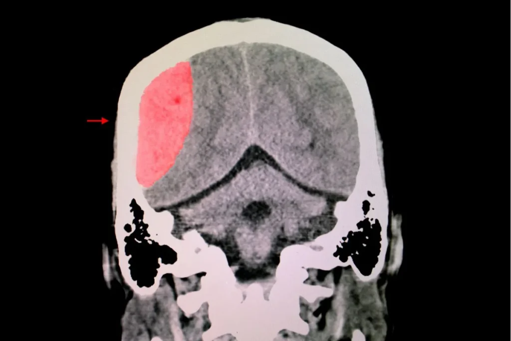
Traumatic Brain Injury (TBI) is a condition often associated with sports injuries, falls, accidents, and other traumatic events, with millions of people affected worldwide. The Centers for Disease Control and Prevention (CDC) reported 2.87 million TBI-related emergency room visits in 2014, and a staggering 817,000 children received treatment for TBI-related head injuries. The Vulnerable Brain […]
Mild Hyperbaric Oxygen Therapy: A New Treatment For Blasting Tissues With Oxygen, Growing New Blood Vessels, Recovering Faster, Killing Bacteria, Building Stem Cells & Much More!

In this podcast episode, Dr. Jason Sonners takes center stage to unravel the remarkable world of Hyperbaric Oxygen Therapy (HBOT). As a distinguished expert in functional medicine and hyperbaric therapy, Dr. Sonners provides profound insights into the various facets of HBOT and its transformative potential for health and wellness. NOTE: The prices he quotes for […]
Hyperbaric Oxygen Therapy for Traumatic Brain Injury Treatment

Imagine a treatment that holds the potential to reverse the devastating effects of traumatic brain injuries (TBI) and rekindle the hope of a brighter future. Welcome to the world of Hyperbaric Oxygen Therapy (HBOT) – a groundbreaking approach that is reshaping the landscape of TBI treatment. History of HBOT Hyperbaric Oxygen Therapy (HBOT) involves inhaling […]
Hyperbaric Oxygen Therapy Can Induce Angiogenesis and Regeneration of Nerve Fibers in Traumatic Brain Injury Patients

Background: Recent clinical studies in stroke and traumatic brain injury (TBI) victims suffering chronic neurological injury present evidence that hyperbaric oxygen therapy (HBOT) can induce neuroplasticity. Objective: To assess the neurotherapeutic effect of HBOT on prolonged post-concussion syndrome (PPCS) due to TBI, using brain microstructure imaging. Methods: Fifteen patients afflicted with PPCS were treated with […]
TBI & Brain Injury Recoveries Thanks to Dr. Harch and HBOT

The Secret to Growing New Brain Cells: Sleep, Exercise and Hyperbaric Oxygen? by Veronica Fern-McElarney, Stanford University TBI affects over 1.4 million Americans annually. The leading cause of TBI is falls, followed by motor vehicle crashes. Moreover, blasts are a leading cause for active-duty military personnel. Called the “signature injury” of the Iraq War, some […]
Promising Advances in Treating Blast-Induced Traumatic Brain Injury and PTSD with Hyperbaric Oxygen Therapy

Traumatic brain injury (TBI) and post-traumatic stress disorder (PTSD) have long plagued military personnel exposed to blast-induced events. Seeking novel treatment options, researchers have turned to hyperbaric oxygen therapy (HBOT), a non-invasive method that involves breathing pure oxygen in a pressurized chamber. A recent Phase I study explored the potential of 1.5 ATA HBOT in […]